Gli insulti traumatici della caviglia oppure una storia di distorsioni ricorrenti possono determinare un quadro di riduzione del movimento articolare denominato generalmente ” rigidità articolare” o “impingement osteofibroso”.
Questo quadro patologico è caratterizzato dalla formazione di tessuto cicatriziale ipertrofico, conseguente a traumi distorsivi, che generalmente si posiziona nel mezzo dell’articolazione (tra tibia ed astragalo) limitandone i movimenti e causando dolore soprattutto durante la pratica sportiva o più semplicemente camminando a lungo. L’evoluzione di questo quadro è progressivamente peggiorativa soprattutto se è associato ad una instabilità dell’articolazione della caviglia.
Gli esiti di fratture articolari che hanno coinvolto il malleolo tibiale o peroneale, fratture dell’estremo distale di tibia oppure un quadro di degenerazione cartilaginea possono portare alla formazione di calcificazioni articolari, corpi mobili oppure “osteofiti” che deformano l’articolazione rendendola non più congruente e quindi con un arco di movimento ridotto.
Naturalmente queste situazioni sono spesso accompagnate da dolore, limitazione funzionale, tumefazioni ricorrenti che condizionano la qualità della vita del paziente.
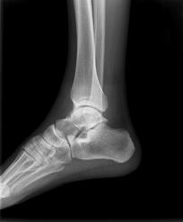
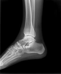
Gli accertamenti strumentali sono essenzialmente rappresentati da una radiografia standard in due proiezioni della caviglia, sufficiente a dimostrare la deformazione dei capi articolari, eventualmente accompagnata da una RM per meglio definire la situazione dei tessuti molli (capsula articolare, legamenti, cartilagine, etc.)
Il trattamento conservativo spesso non è sufficiente a restituire la completa articolarità della caviglia anche se, nei casi più lievi, si ottengono ottimi risultati.
I migliori risultati si ottengono con l'”artrolisi artroscopica” cioè, attraverso due piccole incisioni a livello della caviglia, si introduce una piccola telecamera da un lato e dall’altro uno strumento motorizzato in grado di asportare il tessuto cicatriziale in eccesso, le calcificazioni articolari e gli osteofiti; inoltre si possono ben visualizzare ed asportare gli eventuali corpi mobili articolari e valutare il quadro di degenerazione cartilaginea.
Questa procedura artroscopica consente di ottenere ottimi risultati valutabili direttamente in sala operatoria, infatti la caviglia torna ad avere un arco di movimento sovrapponibile alla controlaterale non appena rimosse le strutture che determinavano la rigidità.
Purtroppo, soprattutto nei quadri degenerativi avanzati, la limitazione articolare può ripresentarsi a distanza di tempo, in quel caso una nuova artroscopia può rappresentare una valida soluzione, eventualmente associandola a iniezioni di acido Jaluronico per “lubrificare” meglio la caviglia.



