Le lesioni tendinee e muscolari rappresentano certamente la stragrande maggioranza degli infortuni o patologie da sport. Spesso queste situazioni sono determinate da richieste funzionali eccessive che portano a quadri di sovraccarico delle strutture muscolari e tendinee. I tendini purtroppo non hanno la stessa capacità di adattamento alle sollecitazioni meccaniche dei muscoli e quindi vanno incontro più rapidamente a piccole lesioni che, se protratte nel tempo, possono portare a situazioni croniche di degenerazione tendinea.
Naturalmente sono da distinguere i casi di lesioni muscolari o tendinee acute, magari conseguenti ad un trauma diretto, da quelle croniche che si sono instaurate nel corso degli anni magari da allenamenti eccessivi o situazioni meccanicamente sfavorevoli (difetti assiali degli arti inferiori, scoliosi, ect).
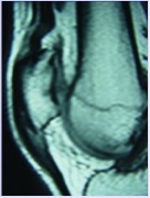
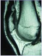
Nel caso di una lesione acuta muscolare o tendinea la prima cosa da fare è valutare l’entità del danno attraverso accertamenti mirati quali possono essere un’ecografia o meglio una RM; talvolta può rendersi necessario eseguire una radiografia per escludere piccoli distacchi ossei.
Il trattamento è assolutamente in relazione alla gravità della lesione; generalmente le lesioni muscolari acute vengono trattate conservativamente in quanto, la presenza di sangue nella zona della lesione, è spesso garanzia di una buona capacità riparativa che dev’essere guidata da un corretto programma riabilitativo. Nei casi di rotture tendinee, la soluzione è necessariamente chirurgica per riparare la lesione e restituire la continuità del sistema osso-tendine-muscolo che garantisce il movimento.
Nei casi più frequenti di tendinopatia cronica oppure nelle recidive di lesioni muscolari la situazione dev’essere assolutamente trattata “ad personam” cioè il trattamento dovrà essere personalizzato il più possibile. Gli accertamenti da eseguire sono sempre un’ecografia o una RM e la terapia conservativa è rappresentata da programmi di riabilitazione muscolare specifici, utilizzo di terapie fisiche quali la Tecarterapia o la laserterapia, bendaggi funzionali, rieducazione neuro muscolare dedicata e sport-specifica. In alcuni casi si può ricorrere alla terapia chirurgica soprattutto nei casi di tendinopatia cronica con degenerazione del tessuto tendineo; in questi casi l’asportazione del tessuto degenerato e la stimolazione del restante tendine, attraverso l’utilizzo di fattori di crescita proveniente dal sangue, rappresentano una valida soluzione.
I risultati di queste tecniche chirurgiche sono però strettamente correlati allo stato di degenerazione tendinea e sarà compito dello specialista ortopedico informare correttamente il paziente sulle reali aspettative.
Patellar Tendinopathy Rehabilitation Guidelines
- fase 1
- fase 2
- fase 3







