La perdita di contatto definitiva tra due capi articolari viene detta “lussazione” altrimenti se il contatto è perso solo temporaneamente si parla di “sublussazione”. Queste due condizioni sono comuni a tutte le articolazioni ma in particolar modo si verificano a carico della spalla e determinano il quadro di “instabilità articolare”.
L’instabilità può essere determinata da un trauma (sportivo, lavorativo, accidentale) oppure da una condizione idiopatica cioè da una congenita situazione di eccessiva elasticità dei tessuti che compongono le strutture articolari.
I giovani sono certamente i più colpiti e purtroppo anche quelli dove la percentuale di recidive è più alta soprattutto nella fascia fino ai 20/30 anni.
Il dolore e la limitazione funzionale sono i sintomi più importanti soprattutto nel momento della lussazione che può provocare anche danni neurologici da compressione delle strutture nervose adiacenti (plesso brachiale).
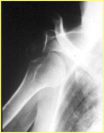
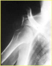
Il trattamento iniziale è di ridurre la lussazione, possibilmente dopo aver eseguito una radiografia per escludere fratture, e proteggere l’articolazione con un tutore.
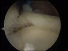
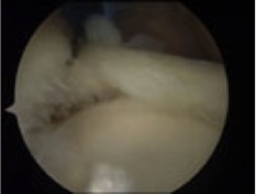
Il trattamento chirurgico è strettamente correlato alla tipologia delle lesioni articolari ed al numero di lussazioni; la riparazione delle lesioni può avvenire in artroscopia (attraverso piccole incisioni si accede all’articolazione visualizzandola con una telecamera e con strumenti dedicati si procede alla riparazione dei tessuti) oppure a “cielo aperto” attraverso cioè un incisione della pelle di circa 8-10 cm (questa tecnica viene riservata generalmente nei casi di recidive o importanti lesioni che coinvolgono anche l’osso).
Il post-operatorio è caratterizzato da un periodo di immobilizzazione con tutore di circa un mese seguito da un adeguato periodo di riabilitazione assistita con il fisioterapista. Il ritorno all’attività lavorativa avviene generalmente alla rimozione del tutore mentre lo sport viene concesso dal 3-4 mese post-operatorio.






